Edi Albert / Associate Professor, Remote and Polar Medicine / University of Tasmania
In the second of his series of articles on snowsports injuries, Dr Edi Albert discusses the assessment and management of knee and shoulder injuries from the ski doctor’s perspective: one that can be very different from that of the hospital emergency doctor or the orthopaedic surgeon. Edi has worked at Perisher Ski Resort (the largest in the southern hemisphere) for the past eight winters. He also coordinates a multi-disciplinary Masters programme in Remote and Polar Health at the University of Tasmania.
Myths and Fallacies
Let’s start with a few myths and fallacies that apply particularly to knee and shoulder injuries – but also apply more broadly in acute and critical care medicine.
Myth 1 / “You have to make a diagnosis there and then.”
It’s what we were taught to as doctors. Right? Wrong. In this context you may not be able to make a comprehensive diagnosis. At Perisher we have only a mobile X-ray machine. The nearest USS or CT is 90 a minute drive and the nearest MRI is a three hour drive. What you do need to do is assess the patient clinically, assemble a working diagnosis, and then get them on the correct “care pathway”. That pathway may range from a simple “if it doesn’t get better in a week go and see your GP”, to referral for physiotherapy review, or to “fit a ROM brace, arrange MRI, and telephone for an appointment with the knee surgeon”.
The final diagnosis and definitive management may only become clear when you get a letter back from their orthopod – who does have the benefit of specialising in only one or two bits of the body, the help of advanced imaging, and that most magnificent of all medical tools: the retrospectoscope.
However, accepting that you may not make a definitive diagnosis is different from failing to miss significant acute injuries.
Myth 2 / “Follow the examination processes outlined in Macleod or Talley & O’Connor and you can’t go wrong.”
The classic patient examination texts are written by highly intelligent, experienced, and eminent physicians. In other words, physicians who don’t examine lots of injured patients and certainly don’t work in an environment of barely controlled mayhem.
Examination of the knee and shoulder in the acute setting requires you to have a functional approach that you may adapt in different contexts, and you may X-ray before you’ve finished your examination. With knees in particular it takes a lot of practice to accurately pick up ruptured MCLs and ACLs. False positives and false negatives are easy. Unless you do a lot of them you simply can’t be sure you’ve got it right.
Myth 3 / “The principal of Occam’s Razor is a good guide for diagnosis and management.”
Injuries to knees and shoulders can frequently involve multiple structures – some of which require surgery, others physiotherapy, and some that are incidental or self-limiting. Sometimes you read an MRI report with half a dozen different injuries and realise that your anatomy is not as good as you thought it was!
Myth 4 / “A real ski doctor is an infallible alpine hero who forges ahead alone and perform feats that ordinary mortals can only dream about.”
Alpine sports medicine can be truly hectic, fast moving, and is practised in an uncontrolled environment where dealing with uncertainty is just part of the game. We are all human, we all make mistakes, and we have a habit of beating ourselves up when we do (the aspect of making mistakes that patients don’t usually see or appreciate). Value your colleagues – doctors, nurses, radiographers, paramedics, ski-patrollers: discuss your patients, share the x-rays around, ask for second opinions from them – and they will get you out of the poo before you’ve even stepped in it. Learn your skills in a well supervised ED – but then be prepared to use them when you’re out on a limb. Few patients will have life-threatening injuries, but they will pop up when least expected, and you will need to be prepared to do an RSI, put in a chest drain, femoral nerve block, or whatever it takes.
Knee Injuries in Skiers
As we discussed in the first article, significant knee injuries tend to occur in skiers rather than boarders, unless the boarder has their back foot unstrapped when they fall.
The twisting injury is the most common with stress placed predominantly on the medial side of the knee during the injury process. The other main mechanism is a combination of twisting and compression. Direct blows are less common and are easier to figure out.
Your assessment starts from the first moment that you set eyes on your patient. Unlike a hospital, we have a single open space and are often involved in getting patients out of the over-snow vehicles they were transported in, or at least getting them off a stretcher or out of a wheelchair. It means we can watch them carefully before they even know they are being examined.
Compared to “normal” medical practice most of these patients are tough, stoic, and simply want to get back out there. Some, however, don’t really want to be at a ski resort at all: they may reluctantly be on a school trip, or have been dragged along with friends and family. Some just aren’t cut out for outdoor sports. The problem is that whilst the latter group can overplay their symptoms they are also the ones most likely to suffer a real injury. Balancing key points in the history with examination findings is the answer.
Take a focussed history. A “snap”, “crackle”, or “pop” combined with severe pain that settles to a dull ache and produces instability thereafter is strongly suggestive of an ACL rupture. “Can they weight bear?” is a common question but unfortunately, the stoics will walk in on ruptured ACLs, whereas the wimps whimper and hop around theatrically without any injury. Also, a grade 1 MCL can be very painful, whereas a complete rupture of the MCL may not.
Examination
Next you want to get a look at the knee – if there is early evidence of an effusion then stop right there.
Lesson 1 / A knee that swells up quickly after an injury contains a haemarthrosis. It’s full of blood and is therefore a fracture until proven otherwise, in which case it is then probably an ACL rupture. X-rays are mandatory.
A haemarthrosis results from bleeding into the joint. The quicker the swelling, the more bleeding and therefore any fracture will be bigger and/or more displaced. Fractures that bleed into the joint are tibial plateau/spine fractures, femoral condyle fractures, and patella fractures. An ACL will also cause a haemarthrosis, though this may take longer to develop and typically will not be present when you first see the patient.
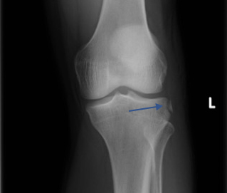
You don’t want to go wiggling a knee that has a tibial plateau fracture (as in the x-ray below) going on inside it. Indeed, if the x-rays show a fracture – bingo – job done. Sometimes though, plateau fractures are not well defined on x-ray, so follow up with CT. If there isn’t a fracture then go ahead and examine the patient.
Lesson 2 / Always lie your patient down flat to examine their knees. If in doubt compare with the normal one: anatomy and ligament laxity can be quite variable.
When your patient is sitting up or semi-recumbent their hamstrings become activated and can mask the subtle findings that you are looking for. If you’re not sure what you are feeling, then examine the uninjured knee for comparison. This is particularly useful for those obese patients who are lying in front of you because they shouldn’t have been on skis in the first place!
Whilst lateral joint line tenderness is a reasonable indicator of lateral meniscal pathology, the same isn’t true for the medial side. An isolated medial meniscal injury is hard to pick reliably in the acute setting, whereas six weeks later the combination of history and examination makes it quite easy.
When stressing the MCL beware of false positives caused by medial rotation of the femur as you apply pressure. An MCL that is fully ruptured (grade 3) will produce a weird rather than painful sensation in the patient and a uniquely satisfying opening and closing clunk felt through your hands, known as gapping. An unstable MCL injury with gapping needs a range of motion (ROM) brace with an extension block and the patient should be encouraged to weight bear. A Zimmer (aka Richards) splint and crutches is about the worst thing you could do.
By all means examine the LCL – but it doesn’t matter because it doesn’t really do much: when you look at a real one, either during an operation or on a cadaver, you’ll see how piddlingly tiny it is compared to the MCL. Forget about it.
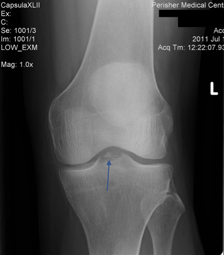
If you think the ACL has gone, then you need to x-ray to rule out a tibial spine fracture as in the x-ray below. This is critical because ACL injuries should be mobilised early with aggressive physiotherapy prior to reconstruction, whereas the fracture should be immobilised and non-weight bearing on crutches prior to definitive imaging and orthopaedic review. Important difference.
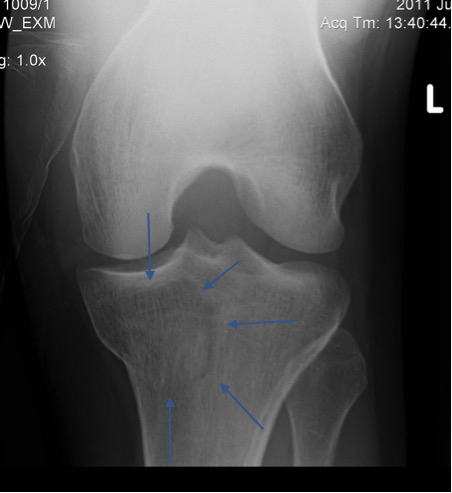
Lesson 3 / When you see a Segond fracture, you know for sure that there is an ACL rupture.
What a little beauty this one is. You wiggle the knee, call it an ACL, get the x-ray, spot the Segond fracture, and then it’s a hi-five FIGJAM moment. Or else it’s your first week in the clinic, all the knees still feel the same, and then the x-ray saves you.
The fracture is seen quite easily in the x-ray below and is caused by rotational forces in which the lateral retinaculum produces a small avulsion fracture. The fracture in itself is irrelevant, but it just so happens that any twisting injury severe enough to create this fracture has already ruptured the ACL.
Remember, examining the acutely injured knee is not easy and takes a lot of practice. I reckon you can become competent at intubating quicker than you can at examining knees. If you don’t examine knees regularly don’t rely on your findings. Pick out key points from the history and ensure a safety net for the patient.
Shoulder Injuries in Skiers and Boarders
The shoulder joint is designed to provide a large range of motion but this comes at the expense of stability. The glenohumeral joint is open and intrinsically unstable. Stability is provided by the rotator cuff muscles and most of the time they do a pretty good job. After the age of forty significant rotator cuff injuries become much more common. A combination of injury pattern recognition and a functional approach to shoulder assessment should be the backbone of your practice.
The shoulder may be injured by a fall on the outstretched hand (FOOSH), in which case look distally as well as at the shoulder. A fall directly onto the shoulder can produce a variety of effects including a dislocation (usually younger patients) or a neck of humerus fracture (usually older patients), a greater tuberosity fracture and damage to the rotator cuff.
An injury with the arm abducted and externally rotated (modified superman position) may produce a posterior dislocation. And patients often come in splinted in this position, making getting through narrow doors quite problematic. Don’t get hung up on whether it is anterior or posterior, just get it back in quickly to get them out of pain.
Examination
When a patient staggers through the doors or is helped off a stretcher, you want to make a quick decision. Do they have that “look” – pale, drained, distracted, and about to puke? Then it could be a dislocation, a comminuted fractured clavicle, or possibly multiple injuries involving the shoulder girdle and the chest wall or cavity.
Unless you think they’re in the third category, it is an easy job to unzip the jacket, start with your fingers on the sternum and then walk them over the SC joint, along the clavicle, over the ACJ down over the outline of the shoulder (deltoid) and down the humerus. This should, very quickly, give you a working diagnosis. Or at least rule out some significant problems.
Lesson 4 / An acromioclavicular joint (ACJ) disruption can fool the unwary into thinking they have a dislocation to deal with.
A grade 3 ACJ injury results from separation of the AC joint (and the coracoclavicular ligament as well) producing a step that you might think is a dislocation. However, the step is at the level of the ACJ and the round shape of the shoulder is preserved as shown in the picture below.
Reducing Dislocations
Lesson 7 / There is no one “best” way to reduce a dislocation. However, try a few methods and find a few approaches that work for you. Make sure one of your methods can be performed on the un-sedated patient or at most with them sucking on a Penthrox inhaler, Entonox or a fentanyl lozenge.
Although anathema in many EDs, we typically diagnose our dislocated shoulders clinically and x-ray them only after a reduction to rule out (or confirm) associated bony injury. Even if there is a fracture, the shoulder still needs to be reduced. Sometimes the x-ray is even performed the following day if it has been reduced on the slopes during night skiing.
Fortunately most of our injuries are “fresh” and so done without sedation or additional analgesia beyond that which the ski patrol have already administered. A decent dose of ketamine is preferable to trickling in the morph and midaz until you have an obtunded patient.
First, make sure it’s not an ACJ, then check the axilliary nerve (Regimental badge sensation) and radial nerve (wrist extension). Neurological compromise is a good reason not to delay reduction and it usually improves afterwards. If it doesn’t go back easily, then definitely x-ray to see why.
So which method to use? First you need to understand that all reductions (in any joint) require two things: muscle relaxation and progressive traction. Then you need to think about the anatomy, in this case the humeral head is sitting inferiorly and anteriorly to its usual location. The inferior border of the glenoid can obstruct relocation.
Our primary approach has been written up as the Mount Beauty method, but often modified with scapular rotation and/or counter-traction to free up the humeral head from its trapped location below the glenoid, and sometimes the addition of bicipital massage. It’s also worth knowing a method to relocate your own shoulder if nobody else is around. For more information, visit shoulderdislocation.net.
While a first dislocation definitely needs an x-ray to exclude bony injury, you can use some judgement with recurrent dislocators (remember Hill-Sachs and bony Bankart from med school?) Research evidence is also getting stronger for early surgical intervention in the young dislocators so think about referral. Length of immobilisation seems to vary depending upon who you ask. And the answer won’t be very evidence based, because the evidence suggests we don’t really know. It will always be a balance between allowing soft tissue healing and the risk of acquiring a stiff joint. At our centre, we tend to go for a short period of immobilisation followed by staged rehabilitation with the arm kept below shoulder level for three weeks at least.
Rotator Cuff Injuries
This greater tuberosity fracture explains why the patient can’t abduct the arm: supraspinatus, infraspinatus, and teres minor all insert here.
Lesson 8 / Think about the structures that you can’t see on the plain x-ray.
In those patients for whom one of the above bony injuries doesn’t jump out at you, you are going to want to look at both active and passive ROM: think about (and examine) the four rotator cuff muscles and look for a painful arc suggesting sub-acromial bursitis. Painless weakness is bad news and suggests a complete muscle tear. Equally, sometimes pain produces apparent weakness in the acute setting making it hard to tell. Make sure these patients get reviewed in a few days’ time. Be particularly vigilant with the over 40’s for whom rotator cuff pathology is more common and have a lower threshold for imaging. Whether this imaging is USS, MRI, or MRA will come down to what you have available and personal preference of the surgeon.
Further Resources
Practical Approach to Snowsport Injuries Part I
Practical Approach to Snowsport Injuries Part III
Your one-stop shop for snowsports injury and injury prevention is Mike Langran’s Ski-Injury.com. It covers many of these topics in much more detail.
You can contact Edi by email: edi.albert@hotmail.com.







